Qu'est-ce que le sourire gingival?

Un sourire gingival, également appelé gummy smile, se produit lorsque plus de 3-4 milliмètres de gencive sont visibles au-dessus des dents supérieures lors du sourire.

Cette condition touche environ 10% de la population et peut avoir plusieurs causes:

  • Lèvre supérieure hyperactive La lèvre se soulève trop haut lors du sourire
  • Excès de tissu gingival Les gencives recouvrent une partie importante des dents
  • Dents courtes Les couronnes dentaires sont de petite taille
  • Excès vertical du maxillaire La mâchoire supérieure est trop longue

Le diagnostic précis de la cause est essentiel pour déterminer le traitement le plus approprié et obtenir des résultats optimaux.

Sourire gingival - exposition excessive des gencives

Avant / Après

Sourire gingival - Avant traitement Avant
Sourire gingival - Après traitement Après

Solutions de traitement

Injection de neuromodulateurs pour sourire gingival

Neuromodulateurs

Pour les cas de lèvre hyperactive, les injections permettent de réduire l'élévation excessive de la lèvre. Traitement rapide de 10-15 minutes avec résultats durant 3-4 mois.

Chirurgie gingivale au laser

Chirurgie gingivale

Lorsqu'il y a un excès de tissu gingival, une gingivectomie remodèle les gencives pour exposer davantage les dents. Résultats permanents avec récupération rapide.

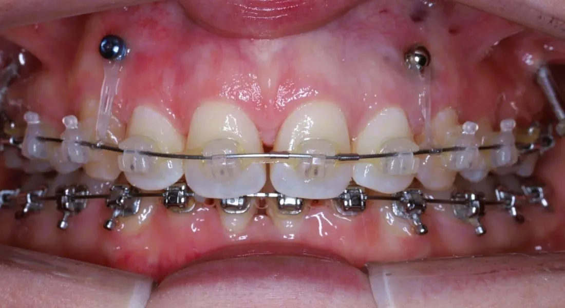
Traitement orthodontique avec mini-vis pour sourire gingival

Orthodontie

Le traitement orthodontique peut modifier la position des dents et réduire l'exposition gingivale. Peut être réalisé avec des aligneurs transparents ou des broches traditionnelles.

Le processus de correction

1

Évaluation complète

Analyse de l'activité de la lèvre supérieure, évaluation de la quantité de tissu gingival, mesure de la longueur des dents et examen de la position du maxillaire.

2

Plan de traitement

Élaboration d'un plan personnalisé selon la cause identifiée. Discussion des options disponibles, des résultats attendus et du calendrier de traitement.

3

Réalisation

Mise en œuvre du traitement sélectionné: injection de neuromodulateurs, chirurgie gingivale ou début de l'orthodontie. Chaque option est adaptée à votre situation unique.

Questions fréquentes

Non, lorsqu'ils sont administrés correctement par un professionnel qualifié, les neuromodulateurs réduisent simplement l'élévation excessive de la lèvre sans affecter votre capacité à sourire naturellement. Le dosage est ajusté pour maintenir l'expression faciale tout en corrigeant l'exposition gingivale excessive.

L'efficacité dépend de la cause de votre sourire gingival. Les neuromodulateurs sont excellents pour les lèvres hyperactives, la chirurgie gingivale pour l'excès de tissu, et l'orthodontie pour les problèmes de position dentaire. Une évaluation complète permet de déterminer l'approche optimale pour votre cas.

Oui, c'est souvent la meilleure approche. Par exemple, une gingivectomie peut être combinée avec un traitement orthodontique, ou des neuromodulateurs peuvent être utilisés temporairement pendant un traitement orthodontique. Nous évaluons votre situation spécifique pour recommander la combinaison optimale.

Transformez votre sourire en toute confiance

Évaluation complète • Solutions personnalisées • Financement disponible

☎ 450.983.4233 Prendre rendez-vous en ligne

Des frais de consultation s’appliquent pour les soins sur-spécialisés (ATM, apnée du sommeil, neuromodulateurs).

Services connexes

Botox esthétique

En savoir plus →

Agents de comblement

En savoir plus →

Invisalign

En savoir plus →

Dr David Benguira

Orthodontiste certifié avec plus de 20 ans d'expérience, Dr Benguira a complété sa formation en orthodontie à l'Université de Montréal après un doctorat en médecine dentaire. Spécialiste reconnu sur la Rive-Nord, il combine expertise clinique et technologies de pointe pour offrir des résultats exceptionnels à chaque patient.

Ordre des dentistes du Québec Association des orthodontistes du Québec Certifié Invisalign Certifié LightForce
En savoir plus sur Dr Benguira →
Dr David Benguira, orthodontiste à Saint-Eustache