Qu'est-ce que l'articulation temporo-mandibulaire (ATM)?

L'articulation temporo-mandibulaire (ATM) est l'articulation qui relie votre mâchoire inférieure (mandibule) aux os temporaux de votre crâne, de chaque côté du visage, juste devant les oreilles. C'est l'une des articulations les plus complexes et les plus sollicitées du corps humain.

L'ATM vous permet de parler, mâcher, bâiller et avaler. Elle fonctionne grâce à un système précis de muscles, ligaments et un disque articulaire qui absorbe les énormes pressions générées lors de la mastication et empêche la friction entre les os.

Les troubles de l'ATM (aussi appelés troubles temporo-mandibulaires ou TTM) surviennent lorsque cette articulation ou les muscles qui l'entourent ne fonctionnent pas correctement, causant douleur, limitation de mouvement et divers symptômes qui peuvent gravement affecter votre qualité de vie.

Anatomie de l'articulation temporo-mandibulaire ATM - schéma
33%

de la population souffre de troubles de l'ATM

90%

d'amélioration avec un traitement adapté

3 mois

pour ressentir un soulagement significatif

3x

plus fréquent chez les femmes de 20 à 50 ans

Reconnaissez-vous ces symptômes?

Les troubles de l'ATM se manifestent par une combinaison de symptômes. Vous n'avez pas besoin de tous les avoir pour souffrir d'un trouble de l'ATM.

Douleur à la mâchoire

Douleur à la mâchoire

Douleur sourde devant l'oreille, dans les muscles de la mâchoire ou au niveau des tempes. La douleur de l'ATM s'intensifie souvent lors de la mastication, au réveil ou en fin de journée.

Articulation temporo-mandibulaire

Claquements et crépitements

Bruits de claquement, craquement ou grincement lors de l'ouverture ou de la fermeture de la bouche. Ils indiquent souvent un déplacement du disque articulaire de l'ATM.

Maux de tête chroniques liés à l'ATM

Maux de tête chroniques

Céphalées fréquentes, surtout au réveil, causées par la tension excessive des muscles de la mâchoire. Souvent confondus avec des migraines, ces maux de tête sont liés à l'ATM.

Bruxisme et grincement des dents

Bruxisme (grincement)

Grincement ou serrement des dents, souvent nocturne et inconscient. Le bruxisme use les dents, fatigue les muscles et aggrave les douleurs de l'ATM.

Blocage de la mâchoire

Blocage de la mâchoire

Difficulté ou impossibilité d'ouvrir la bouche complètement. Normalement, vous devriez pouvoir insérer 3 doigts verticalement entre vos dents. Moins que cela peut indiquer un trouble de l'ATM.

Vue 3D de l'articulation temporo-mandibulaire

Douleurs auriculaires

Douleurs à l'oreille, sensation d'oreille bouchée, acouphènes (bourdonnements) et parfois vertiges. Ces symptômes sont souvent liés à la proximité de l'ATM avec l'oreille.

Douleurs cervicales liées aux troubles de l'ATM

Douleurs cervicales

Tensions et douleurs au cou, aux épaules et au haut du dos. Les muscles de la mâchoire sont connectés à la chaîne musculaire cervicale, créant des douleurs référées.

Vous vous reconnaissez dans ces symptômes ?

N'attendez pas que la douleur s'aggrave. Un diagnostic précoce permet des traitements plus simples et un soulagement plus rapide.

Appelez le 450.983.4233 Rendez-vous en ligne

Consultation spécialisée ATM • Imagerie 3D CBCT sur place

Les différents troubles de l'ATM

Les troubles de l'ATM regroupent plusieurs conditions distinctes :

Syndrome douloureux myofascial

Le plus fréquent. Douleurs musculaires, crispation de la mâchoire et ouverture limitée de la bouche. Souvent lié au stress, au bruxisme et aux mauvaises postures.

Luxation du disque articulaire

Le disque de l'ATM se déplace de sa position normale. Forme réductible : claquement lors de l'ouverture (le disque se replace). Forme non réductible : blocage persistant de la mâchoire.

Arthrose de l'ATM

Dégénérescence progressive du cartilage articulaire. Sensation de grincement lors des mouvements de la mâchoire. La douleur disparaît habituellement en 6 mois avec un traitement adapté.

Arthrite de l'ATM

Inflammation articulaire pouvant être rhumatoïde, infectieuse ou traumatique. La polyarthrite rhumatoïde affecte souvent les deux ATM simultanément.

Symptômes des troubles de l'ATM - maux de tête, douleur mâchoire, douleur oreille, douleurs cervicales

Pourquoi souffrez-vous de l'ATM ?

Les troubles de l'ATM résultent généralement d'une combinaison de facteurs, rarement d'une cause unique.

Bruxisme et serrement

Grincement ou serrement des dents, souvent nocturne, qui exerce une pression excessive sur l'articulation.

Malocclusion dentaire

Un mauvais alignement des dents crée une répartition inégale des forces sur l'ATM.

Stress et tension

Le stress psychologique provoque une crispation involontaire des muscles de la mâchoire.

Traumatisme

Coup au visage, accident, chute ou blessure sportive affectant directement la mâchoire.

Arthrite

Polyarthrite rhumatoïde, arthrose ou autres affections inflammatoires touchant l'articulation.

Troubles du sommeil

L'apnée du sommeil et d'autres troubles sont étroitement liés aux dysfonctions de l'ATM.

Mauvaise posture

Une posture de tête et de cou incorrecte modifie la position naturelle de la mâchoire.

Facteurs de risque — Les femmes sont plus fréquemment touchées, particulièrement entre 20 et 50 ans. La mastication répétitive de gomme est aussi un facteur aggravant.

Comment diagnostiquons-nous les troubles de l'ATM?

1

Examen clinique complet

Palpation des muscles masticateurs et de l'ATM, écoute des bruits articulaires, évaluation de l'amplitude d'ouverture buccale (normale : minimum 4 cm) et analyse de votre occlusion.

2

Scanner 3D CBCT sur place

Notre imagerie 3D permet de visualiser en détail les structures osseuses de l'ATM, de détecter l'arthrose, les anomalies articulaires et d'évaluer la position du condyle. Examen rapide, résultats immédiats.

3

Analyse occlusale

En tant qu'orthodontiste, le Dr Benguira évalue précisément la relation entre votre occlusion dentaire et vos symptômes de l'ATM. Cette expertise est unique à la spécialité orthodontique.

4

Plan de traitement personnalisé

Identification des causes spécifiques de vos troubles de l'ATM et présentation des options thérapeutiques adaptées, du plus conservateur au plus avancé.

Comment traiter les troubles de l'ATM?

La majorité des troubles de l'ATM répondent bien aux traitements conservateurs. La plupart des patients ressentent une amélioration significative dans les 3 mois.

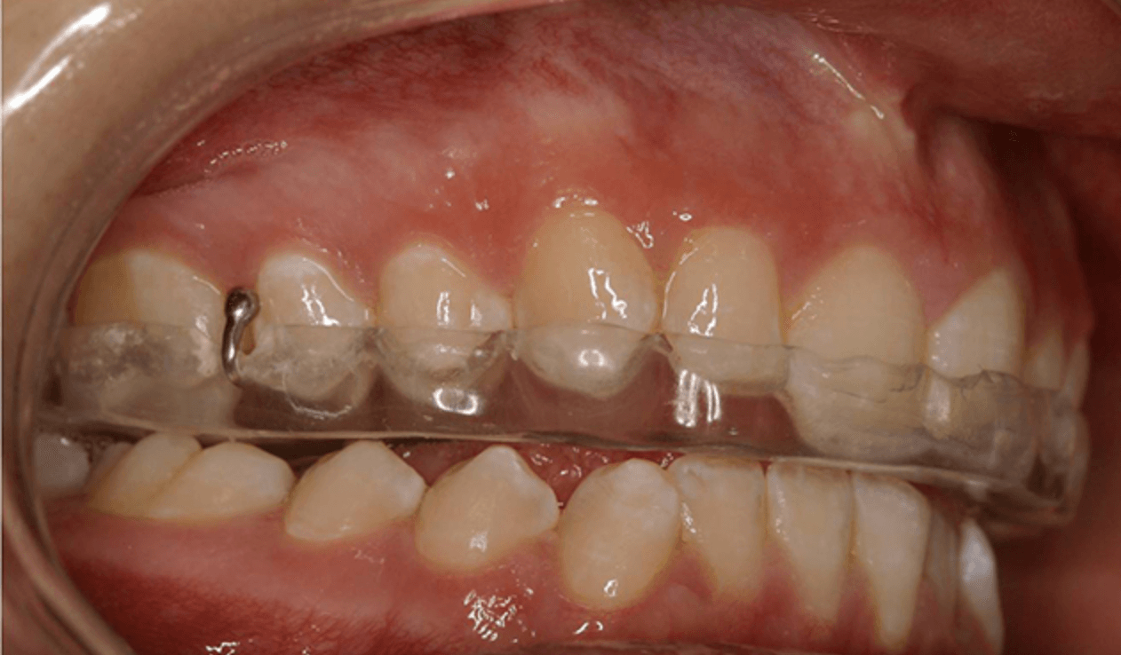
Gouttière occlusale sur mesure

Appareil en résine fine, ajusté précisément à vos dents, porté principalement la nuit. La gouttière réduit la pression sur l'ATM, protège vos dents contre l'usure du bruxisme et détend les muscles masticateurs.

Botox thérapeutique (neuromodulateurs)

Injections précises de Botox dans les muscles masséters pour réduire les spasmes musculaires, le serrement et la douleur. Effet en quelques jours, durée de 3 à 6 mois. En savoir plus →

Physiothérapie et exercices

Exercices de mobilisation mandibulaire, techniques de relaxation musculaire, ultrasons et stimulation nerveuse transcutanée (TENS). Le Dr Benguira réfère à des physiothérapeutes spécialisés en ATM au besoin.

Traitement orthodontique

Si une malocclusion contribue au problème, un traitement orthodontique peut rééquilibrer l'occlusion et améliorer la répartition des forces sur l'ATM. L'approche est prudente et personnalisée.

Gouttière occlusale sur mesure pour traitement ATM

Gouttière occlusale sur mesure

Protection nocturne contre le bruxisme

Injection Botox thérapeutique dans le muscle masséter pour ATM

Botox thérapeutique (masséter)

Réduction des spasmes musculaires

Comment soulager la douleur ATM - 5 options de traitement efficaces

Soulager vos douleurs de l'ATM à la maison

En complément de votre traitement, ces mesures peuvent aider à soulager les symptômes de l'ATM :

  • Aliments mous Privilégiez les aliments tendres et mâchez lentement. Évitez les aliments durs, collants et la gomme à mâcher
  • Chaleur humide Appliquez une compresse chaude humide sur la zone douloureuse pendant 15-20 minutes
  • Position de repos Gardez vos dents légèrement séparées (lèvres fermées, dents écartées) pour détendre les muscles de l'ATM
  • Gestion du stress Le stress est un facteur majeur des troubles de l'ATM. Techniques de relaxation, méditation ou exercices de respiration
  • Posture Maintenez une bonne posture de la tête et du cou, surtout devant l'ordinateur
  • Anti-inflammatoires Ibuprofène (Advil) ou naproxène (Aleve) selon les indications, pour réduire la douleur et l'inflammation
  • Sommeil Assurez un sommeil de qualité. Évitez de dormir sur le ventre (pression sur la mâchoire)

Pourquoi consulter le Dr Benguira pour vos troubles de l'ATM?

Les orthodontistes sont les spécialistes les mieux formés pour diagnostiquer et traiter les troubles de l'ATM, grâce à leur expertise unique en :

  • Occlusion dentaire Formation approfondie sur la façon dont les dents s'engrènent et son impact sur l'ATM
  • Fonction mandibulaire Compréhension de la biomécanique de la mâchoire et de ses mouvements
  • Imagerie 3D sur place Scanner CBCT disponible directement en clinique pour un diagnostic immédiat
  • Gamme complète de traitements Gouttière occlusale, Botox thérapeutique, orthodontie et coordination pluridisciplinaire

Le Dr Benguira adopte une approche globale et pluridisciplinaire, coordonnant au besoin avec des physiothérapeutes spécialisés, des chirurgiens maxillo-faciaux et d'autres professionnels pour une prise en charge complète de vos troubles de l'ATM.

Dr Benguira - spécialiste ATM et orthodontie à St-Eustache

Vos questions sur les troubles de l'ATM

Les troubles de l'ATM guérissent-ils d'eux-mêmes? +

Certains troubles légers de l'ATM peuvent s'améliorer spontanément, mais la plupart nécessitent un traitement pour éviter l'aggravation. La bonne nouvelle : la majorité des patients ressentent une amélioration significative dans les 3 mois avec un traitement adapté. Sans traitement, le bruxisme peut user les dents et les problèmes articulaires peuvent s'aggraver avec le temps.

Combien de temps dure le traitement des troubles de l'ATM? +

La durée varie selon la cause et la sévérité. Certains patients ressentent un soulagement en quelques semaines avec une gouttière occlusale. Le Botox thérapeutique agit en quelques jours. Pour les cas plus complexes impliquant une malocclusion, un traitement orthodontique de plusieurs mois peut être recommandé. Un plan personnalisé sera établi lors de votre consultation.

La gouttière occlusale est-elle inconfortable? +

Il y a une courte période d'adaptation de quelques jours. La gouttière est fabriquée sur mesure à partir d'empreintes précises de vos dents et ne doit jamais être douloureuse. Elle est mince et ajustée pour permettre une occlusion régulière. Si vous ressentez une gêne, nous l'ajusterons lors d'une visite de suivi.

Le Botox est-il efficace pour les douleurs de l'ATM? +

Oui, le Botox thérapeutique est très efficace pour les troubles musculaires de l'ATM. Injecté dans les muscles masséters, il réduit la force de serrement, soulage les spasmes musculaires et diminue les maux de tête liés au bruxisme. L'effet dure 3 à 6 mois et peut être renouvelé. Le Dr Benguira, formateur universitaire en techniques d'injection, maîtrise parfaitement cette approche.

Quand devrais-je consulter pour des douleurs à la mâchoire? +

Consultez dès que vous ressentez des douleurs persistantes à la mâchoire, des difficultés à ouvrir la bouche, des claquements accompagnés de douleur, des maux de tête fréquents au réveil ou une usure anormale de vos dents. Plus le diagnostic est posé tôt, plus les traitements conservateurs sont efficaces et rapide est le soulagement.

L'orthodontie peut-elle régler mes problèmes d'ATM? +

Si une malocclusion contribue à vos troubles de l'ATM, un traitement orthodontique peut améliorer la répartition des forces sur l'articulation et soulager les symptômes. Cependant, chaque cas est différent et l'orthodontie seule ne suffit pas toujours. Le Dr Benguira évalue si un traitement orthodontique est indiqué dans votre situation spécifique.

Les claquements de mâchoire sont-ils graves? +

Les claquements de mâchoire sans douleur sont fréquents et ne nécessitent pas toujours de traitement. Cependant, s'ils sont accompagnés de douleur, de blocage ou d'une limitation d'ouverture, ils peuvent indiquer une luxation du disque articulaire qui mérite une évaluation. Un diagnostic précoce permet d'éviter l'aggravation.

Chaque jour sans traitement est un jour de douleur en trop.

90% de nos patients ressentent une amélioration significative. Diagnostic par imagerie 3D CBCT sur place, plan de traitement personnalisé dès la première visite.

Appelez maintenant : 450.983.4233 Rendez-vous en ligne

Des frais de consultation s’appliquent pour les soins sur-spécialisés (ATM, apnée du sommeil, neuromodulateurs).

Services connexes

Botox thérapeutique

En savoir plus →

Apnée du sommeil

En savoir plus →

Orthodontie adulte

En savoir plus →

Dr David Benguira

Orthodontiste certifié avec plus de 20 ans d'expérience, Dr Benguira a complété sa formation en orthodontie à l'Université de Montréal après un doctorat en médecine dentaire. Spécialiste reconnu sur la Rive-Nord, il combine expertise clinique et technologies de pointe pour offrir des résultats exceptionnels à chaque patient.

Ordre des dentistes du Québec Association des orthodontistes du Québec Certifié Invisalign Certifié LightForce
En savoir plus sur Dr Benguira →
Fauteuil de traitement orthodontique