Qu'est-ce qu'une mini-vis orthodontique ?

Les TADs (Temporary Anchorage Devices) sont de minuscules vis en titane (6-12 mm de long, 1,2-2 mm de diamètre) placées temporairement dans l'os de la mâchoire.

Elles servent de points d'ancrage fixes pour des mouvements dentaires précis et contrôlés — des mouvements qui étaient impossibles avec l'orthodontie traditionnelle.

Pourquoi « temporaires » ?

  • Placées uniquement pendant la durée du traitement
  • Retirées facilement à la fin, sans anesthésie
  • Ne laissent aucune trace après le retrait
  • Contrairement aux implants dentaires permanents
Pose de mini-vis orthodontique TAD en clinique par Dr Benguira

L'ancrage absolu : le concept révolutionnaire

Le problème de l'orthodontie classique

En orthodontie traditionnelle, on s'appuie sur les dents voisines comme ancrage. Mais ces dents bougent aussi légèrement — limitant la capacité de mouvement. Reculer les dents antérieures en tirant sur les molaires fait aussi avancer légèrement les molaires.

La solution des mini-vis

Les TADs s'ancrent dans l'os, pas dans les dents. Cet ancrage absolu ne bouge pas, permettant :

  • Un positionnement dentaire d'une précision inégalée
  • Des mouvements de grande amplitude
  • Éviter les effets indésirables sur les autres dents
  • Des résultats auparavant impossibles sans chirurgie
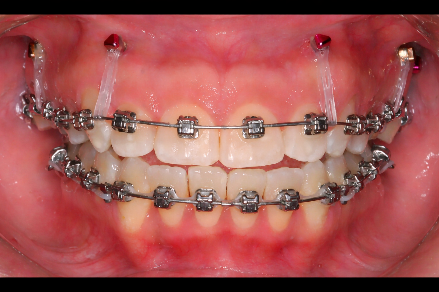
Mini-vis orthodontique TAD inseree dans la gencive pour ancrage squelettique

Quels cas les mini-vis peuvent-elles traiter ?

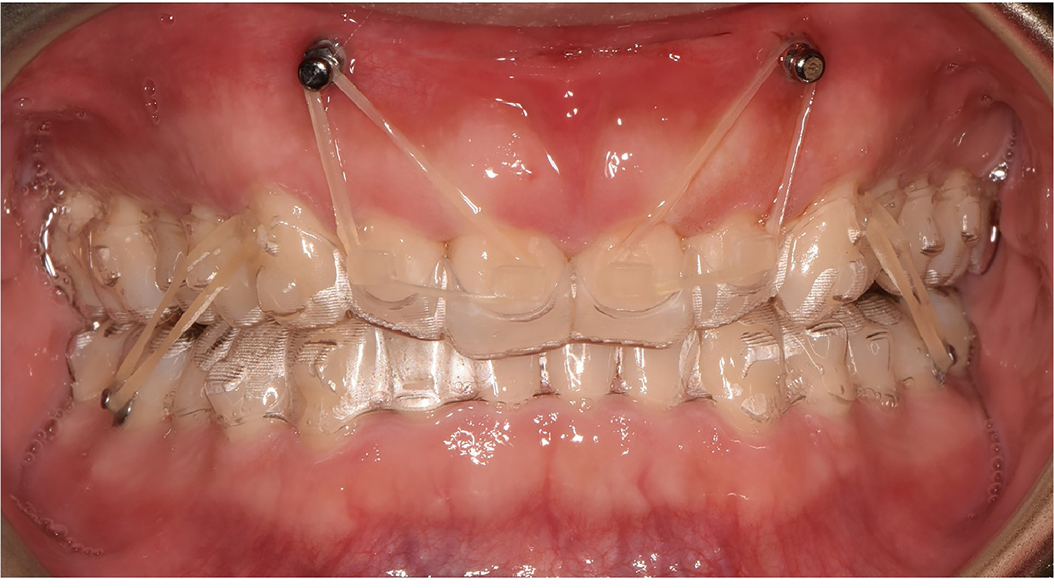
Mini-vis TAD pour béances antérieures avec broches

Béances antérieures

Les dents antérieures ne se touchent pas à la fermeture. L'approche traditionnelle nécessite souvent la chirurgie. Les TADs permettent l'intrusion des molaires pour fermer la béance sans chirurgie.

Mini-vis TAD pour asymétries dentaires et protraction

Asymétries dentaires et faciales

Désalignement de la ligne médiane dentaire ou inclinaison du plan occlusal. Les TADs corrigent le plan et repositionnent les dents par rapport au visage.

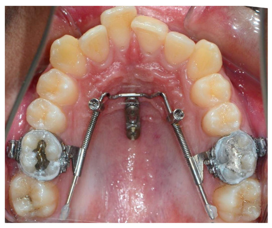
Mini-vis TAD pour distalisation des molaires

Distalisation des molaires

Molaires trop avancées créant de l'encombrement. Les TADs reculent les dents postérieures, créant de l'espace sans extractions.

Mini-vis TAD avec aligneurs transparents pour cas complexes

Cas complexes adultes

Pour les adultes ne pouvant ou ne souhaitant pas subir une chirurgie orthognathique, les mini-vis offrent une alternative viable avec d'excellents résultats.

La pose : simple et rapide

1

Planification 3D (CBCT)

Imagerie 3D pour planifier la position optimale et éviter les structures anatomiques sensibles. Guide chirurgical imprimé en 3D.

2

Anesthésie locale

Comme pour une obturation dentaire. Aucune anesthésie générale, aucune incision.

3

Insertion (moins de 15 minutes)

La vis passe directement à travers la gencive dans l'os. Inconfort minimal, comparable à un ajustement de brackets.

4

Activation immédiate

Connexion aux brackets ou aligneurs via élastiques ou ressorts. La mini-vis travaille silencieusement 24h/24.

Aucun arrêt de travail requis. Reprise des activités normales le jour même.

Mini-vis vs chirurgie orthognathique

Aspect Mini-vis (TADs) Chirurgie
Hospitalisation Aucune 1-2 jours
Anesthésie Locale Générale
Convalescence Quelques jours 4-6 semaines
Risques Minimaux Plus élevés
Coût Inclus au traitement Plus élevé
Taux de succès >85% Très élevé

Note : Dans les décalages squelettiques sévères, la chirurgie orthognathique reste le traitement optimal.

Pendant le traitement avec mini-vis

À peine perceptible

Après quelques jours d'adaptation, la mini-vis se fait oublier. Aucune gêne au quotidien.

Travaille 24h/24

Connectée aux brackets ou aligneurs via élastiques ou ressorts, elle exerce une force constante et contrôlée.

Hygiène simple

Brossage normal autour de la vis. Aucun entretien spécial requis.

Durée

Reste en place quelques mois à 1-2 ans selon les objectifs. Retirée en quelques secondes, sans anesthésie.

Réversible

Peut être repositionnée si nécessaire. Aucun dommage permanent à l'os ou aux dents.

Compatible

Fonctionne aussi bien avec les brackets traditionnels qu'avec les aligneurs transparents.

Article de blog recommandé

Un cas complexe ? Explorons vos options.

Consultation gratuite en orthodontie pour évaluer si les mini-vis peuvent vous aider à atteindre vos objectifs sans chirurgie.

Services connexes

Broches dentaires

En savoir plus →

Chirurgie orthognathique

En savoir plus →

Orthodontie adulte

En savoir plus →

Dr David Benguira

Orthodontiste certifié avec plus de 20 ans d'expérience, Dr Benguira a complété sa formation en orthodontie à l'Université de Montréal après un doctorat en médecine dentaire. Spécialiste reconnu sur la Rive-Nord, il combine expertise clinique et technologies de pointe pour offrir des résultats exceptionnels à chaque patient.

Ordre des dentistes du Québec Association des orthodontistes du Québec Certifié Invisalign Certifié LightForce
En savoir plus sur Dr Benguira →
Dr David Benguira, orthodontiste à Saint-Eustache