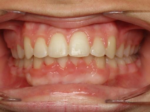
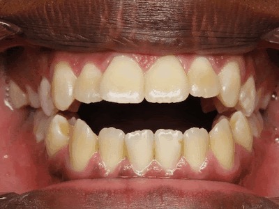
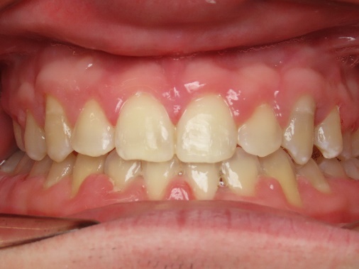
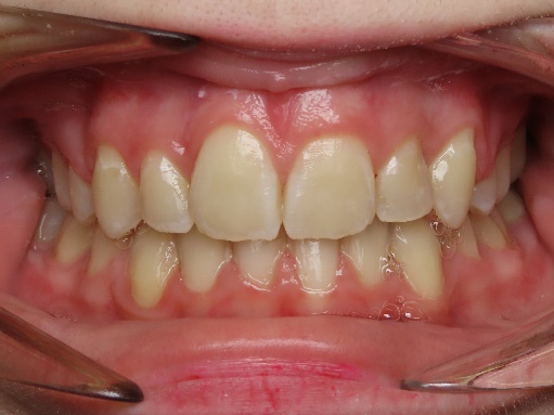
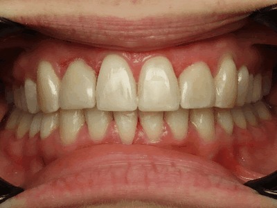
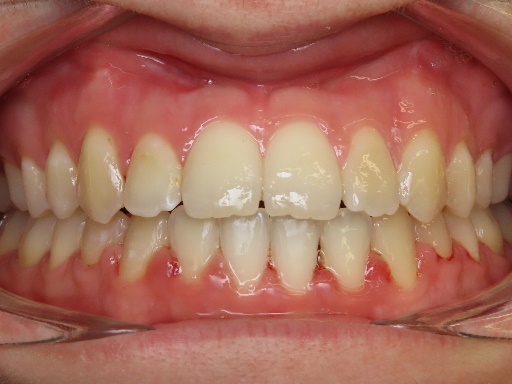
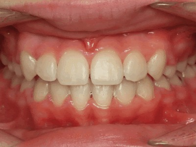
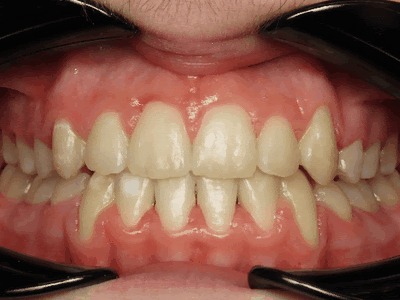
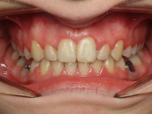
Découvrez les résultats de nos traitements orthodontiques. Chaque sourire raconte une histoire de transformation.
« Vous aider à obtenir un sourire radieux est notre passion ! »
Glissez le curseur pour comparer les résultats avant et après traitement.
Problème : palais étroit limitant la respiration nasale et causant des ronflements.
Traitement : expansion palatine rapide pour élargir la mâchoire supérieure.
Résultat : respiration améliorée, arrêt du ronflement, espace créé pour les dents permanentes.
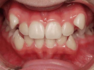
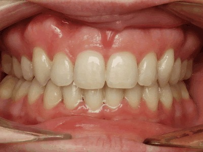
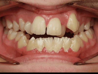
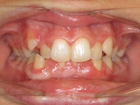
Problème : canine incluse, incapable de faire éruption naturellement.
Traitement : création d'espace orthodontique et guidage de l'éruption.
Résultat : alignement complet avec la canine en position fonctionnelle et esthétique.
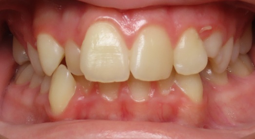
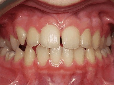
Problème : décalage latéral de la mâchoire avec lignes médianes déviées.
Traitement : correction de l'occlusion croisée et réalignement des lignes médianes.
Résultat : occlusion fonctionnelle, symétrie faciale et mastication améliorée.
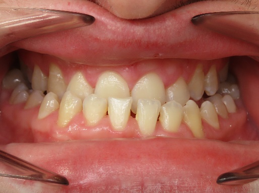
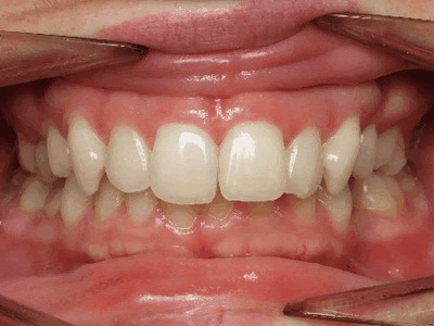
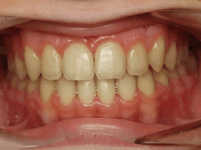
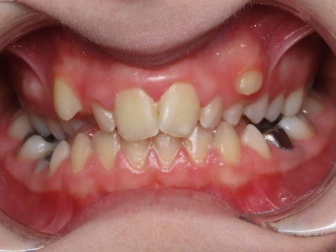
Problème : dents chevauches et occlusion croisée postérieure.
Traitement : broches orthodontiques complètes pour corriger les deux problèmes simultanément.
Résultat : dents parfaitement alignées et occlusion corrigée.
Problème : décalage squelettique important entre la mâchoire supérieure et inférieure.
Traitement : orthodontie pré-chirurgicale suivie d'une chirurgie orthognatique.
Résultat : profil harmonieux, occlusion fonctionnelle et esthétique améliorée.
Problème : décalage squelettique avec prognathie mandibulaire.
Traitement : orthodontie complète pour corriger le décalage des mâchoires.
Résultat : harmonie faciale et occlusion fonctionnelle restaurées.
Problème : espace ouvert entre les dents antérieures supérieures et inférieures au repos.
Traitement : correction orthodontique sans chirurgie avec élastiques et mécanique spécifique.
Résultat : fermeture complète de la béance, capacité de mordre retrouvée.
Problème : béance antérieure sévère nécessitant une approche chirurgicale.
Traitement : orthodontie pré-chirurgicale suivie d'une chirurgie pour corriger la béance.
Résultat : fermeture de la béance et occlusion fonctionnelle retrouvée.
Problème : recouvrement excessif des dents inférieures causant l'usure de l'émail.
Traitement : correction de la supraclusion pour protéger l'émail et rétablir une occlusion saine.
Résultat : recouvrement normalisé, usure stoppée, sourire équilibré.
Problème : décalage antéro-postérieur entre la mâchoire supérieure et inférieure.
Traitement : correction orthodontique pour harmoniser la relation entre les mâchoires.
Résultat : profil équilibré et occlusion fonctionnelle améliorée.
Problème : espaces entre les dents et manque de recouvrement antérieur.
Traitement : correction avec Invisalign pour fermer les espaces et améliorer le recouvrement.
Résultat : sourire harmonieux sans espaces, occlusion améliorée.
Problème : absence congénitale des 2e prémolaires et recouvrement excessif.
Traitement : gestion des espaces et correction du recouvrement par orthodontie complète.
Résultat : occlusion fonctionnelle et esthétique malgré les dents manquantes.
Problème : dents chevachées et sourire gingival (trop de gencive visible au sourire).
Traitement : orthodontie avec TADs pour remonter les dents supérieures et gingivectomie au laser.
Résultat : sourire naturel avec une bonne relation entre les dents et les lèvres.
Problème : rétrognathie mandibulaire (mâchoire inférieure reculée) affectant le profil facial et l'occlusion.
Traitement : orthodontie pré-chirurgicale suivie d'une chirurgie d'avancement mandibulaire.
Résultat : profil harmonieux, mâchoire inférieure avancée et occlusion fonctionnelle.
Les résultats présentés sont spécifiques à chaque patient et peuvent varier en fonction de la complexité du cas, de la coopération du patient et d'autres facteurs individuels. Les images et vidéos sont publiées avec le consentement écrit des patients ou de leurs tuteurs légaux. Chaque plan de traitement est personnalisé et les résultats ne sont pas garantis d'être identiques pour tous les patients.
Consultation gratuite en orthodontie • Diagnostic personnalisé