Why accelerate?

A traditional orthodontic treatment lasts on average 18 to 24 months. For some patients, this duration can be a significant obstacle.

You may have an important event coming up: a wedding, a graduation, a professional promotion. Or simply the legitimate desire to get your new smile faster.

Accelerated orthodontics uses scientifically proven techniques to stimulate bone remodeling and significantly reduce your treatment time, without compromising the quality of the result.

Patient using the VPro device to accelerate orthodontic treatment
Methods

How we accelerate

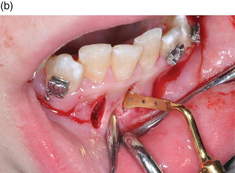
Micro-osteoperforations to accelerate orthodontic treatment

Micro-osteoperforations

Small perforations in the bone around the teeth to stimulate bone remodeling. Quick and minimally invasive procedure. 50-60% reduction in treatment time.

Appareil de vibrations orthodontiques

Vibrations (VPro/AcceleDent)

Vibratory device used 20 minutes per day at home. Stimulates circulation and bone remodeling. 30-50% reduction in treatment time.

Corticotomie orthodontique

Corticotomy

Minimally invasive incisions in the cortical bone to facilitate tooth movement. Reserved for complex cases. 60-70% reduction in treatment time.

Dental photobiomodulation — LED light to accelerate orthodontic treatment

Photobiomodulation

Specialized LED light to stimulate cell regeneration and accelerate tooth movement. Non-invasive, painless. Can reduce treatment time by 25%.

Who is a candidate?

Accelerated orthodontics is not suitable for all patients. Here are the main criteria:

Ideal candidates:

  • Adults with good periodontal health
  • Motivated and disciplined patients
  • People with an important event in 12-18 months
  • Non-smokers (tobacco slows healing)
  • No systemic diseases affecting healing

During your consultation, we will carefully evaluate your case to determine if acceleration is appropriate and which method would be best suited.

Techniques d'orthodontie acceleree

Our approach

At MonOrthodontiste, we believe that quality should never be sacrificed for speed.

That is why we:

  • Thoroughly evaluate each case to determine if acceleration is appropriate
  • Honestly recommend the best approach, even if it does not include acceleration
  • Closely monitor your progress with more frequent appointments
  • Adjust our strategy if necessary during treatment

Our goal: to offer you the best possible result, in the shortest possible time, without compromising the health of your teeth and gums.

Micro-osteoperforation Propel pour orthodontie acceleree
FAQ

Frequently asked questions

Is it painful? +

It depends on the method. Vibrations and photobiomodulation are completely painless. Micro-osteoperforations cause slight discomfort for 24-48h, similar to a regular orthodontic adjustment. Corticotomy requires local anesthesia and a healing period of a few days.

Is the quality of the result affected? +

No. Scientific studies show that accelerated orthodontics produces results identical to conventional treatments in terms of quality, stability and periodontal health. We accelerate tooth movement, not the quality of treatment.

Can multiple methods be combined? +

Yes, in some cases. For example, micro-osteoperforations + daily vibrations can be combined to maximize acceleration. We determine the best combination based on your specific case, goals and budget.

How much time can I actually save? +

If your conventional treatment would last 20 months, with moderate acceleration (vibrations), you could finish in 12-14 months. With aggressive acceleration (micro-osteoperforations or corticotomy), possibly 8-10 months. Each case is unique; we will give you a precise estimate after evaluation.

Accelerate toward your smile

Discover how much time you could save during a free orthodontic consultation.

Related services

Invisalign

Learn more →

Adult orthodontics

Learn more →

LightForce 3D Braces

Learn more →

Dr David Benguira

Certified orthodontist with over 20 years of experience, Dr Benguira completed his orthodontic training at the Université de Montréal after a doctorate in dental medicine. A recognized specialist on the North Shore, he combines clinical expertise and cutting-edge technology to deliver exceptional results for every patient.

Quebec Dental Board Quebec Association of Orthodontists Invisalign Certified LightForce Certified
En savoir plus sur Dr Benguira →
Dr David Benguira, orthodontist in Saint-Eustache