Le traitement éprouvé pour un sourire parfait. Métalliques, céramiques ou combinées, nous avons l’option parfaite pour vous.

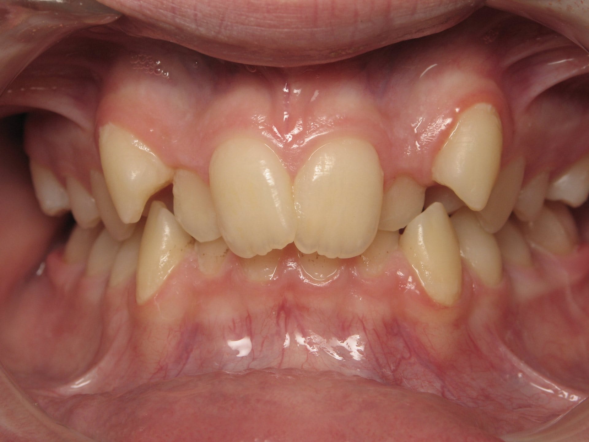
Cas complexes : Les broches restent le traitement le plus polyvalent pour les malocclusions sévères, les rotations importantes et les problèmes squelettiques.
Budget limité : Les broches métalliques sont l’option la plus abordable sans compromettre la qualité des résultats.
Discipline : Contrairement aux aligneurs, les broches travaillent 24/7 sans dépendre de votre discipline à les porter.
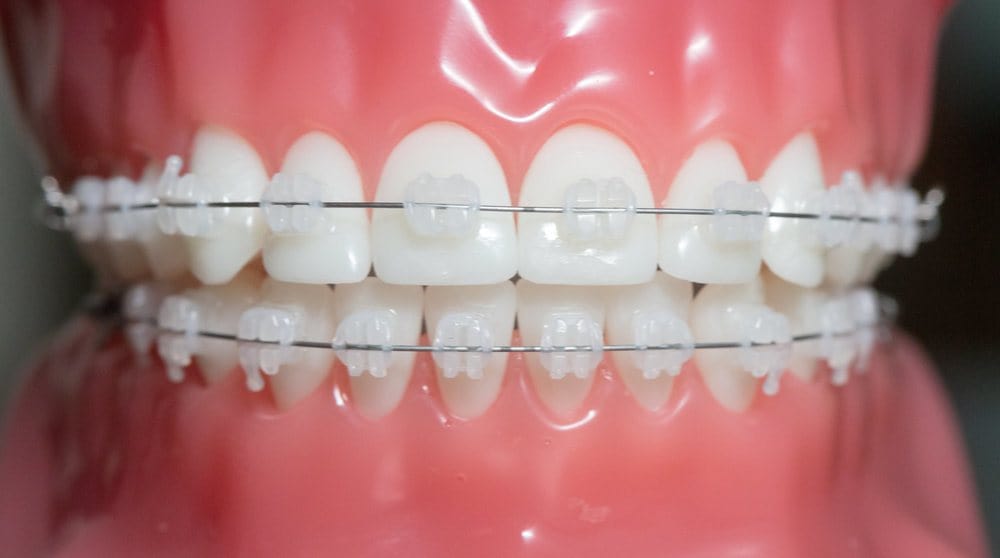
Brackets en acier inoxydable. Plus robustes, traitement parfois plus rapide, idéales pour cas complexes. Le plus abordable.
Brackets en céramique couleur des dents. Très discrètes à distance de conversation, aussi efficaces que les métalliques.
Système sans élastiques. Moins de friction, visites plus espacées, potentiellement plus confortables.
Vous préférez une option sans broches?
Découvrir les aligneurs Invisalign / SPARK →Examen complet, radiographies, scan 3D, plan de traitement personnalisé et devis détaillé.
Nettoyage, application de colle spéciale, positionnement précis de chaque bracket, installation du fil.
Rendez-vous toutes les 4-8 semaines, durée 15-30 minutes, changement de fils et suivi.
Retrait indolore des brackets, pose des fils de rétention, goûttières de nuit.
Appelez-nous : 450.983.4233
« J’avais peur que les broches soient douloureuses. Honnêtement, c’est juste une pression les premiers jours. Le résultat en vaut mille fois la peine. »
Amélie, 16 ans, Saint-Eustache« Mes broches céramiques sont tellement discrètes que mes collègues ne les ont pas remarquées pendant des semaines. »
Catherine, 34 ans, Laval« Mon fils adore choisir les couleurs de ses élastiques à chaque rendez-vous. Ça rend l’expérience amusante. »
Martin P., Deux-MontagnesDécouvrez nos transformations et résultats réels sur notre site principal.
Voir nos cas traités| Critère | Métalliques | Céramiques | Auto-ligaturantes |
|---|---|---|---|
| Visibilité | Visibles | Discrètes | Variable |
| Robustesse | ★★★★★ | ★★★ | ★★★★ |
| Cas complexes | Tous | Tous | Tous |
| Fréquence visites | 4-6 sem. | 4-6 sem. | 6-8 sem. |
| Prix | $ | $$ | $$ |
Inconfort, pas douleur. Les premiers jours et après chaque ajustement, vous ressentirez une pression. Gérable avec Tylenol/Advil.
12-30 mois selon le cas. En moyenne, 18-24 mois pour un traitement complet.
Oui, identique. La seule différence est le matériau. Les céramiques sont légèrement plus fragiles.
Cas complexes (mieux traités avec broches), pas de discipline requise, prix plus accessible, préférence personnelle.
Appelez-nous. Ce n’est pas urgent mais doit être réparé. Gardez le bracket et évitez les aliments durs de ce côté.
Oui, avec un protecteur buccal. Nous pouvons fabriquer un protecteur sur mesure adapté aux broches.
Gratuite
Examen + radiographies + scan 3D + devis
Sur évaluation
Option la plus économique. Financement 0% intérêt.
Acceptées
Couverture typ. 50%. Réclamations préparées.
Découvrez quelle option est idéale pour vous ou votre enfant. Aucun engagement.
Réserver ma consultation gratuiteRemplissez le formulaire et notre équipe vous contactera dans les 24h.
« Great clinic!! Dr Benguira and all his staff are friendly and professional. Very ponctual and never any wait. »
Google Review« Je n’ai que de bons mots pour Dr Benguira et son équipe. Son empathie et son professionnalisme m’ont convaincue d’initier les traitements que je redoutais depuis plusieurs années. »
Google Review« Dr. Benguira is great! He is so patient, and he takes his time to explain and answer questions. »
Google Review« Excellent service de la part de toute l’équipe tant au niveau de la ponctualité que de la qualité. Les résultats du traitement de mes deux fils sont très satisfaisants. »
Google ReviewLes broches restent le traitement le plus polyvalent et accessible. Découvrez quelle option est idéale pour vous.